新材料新技术是兰州高新区重点发展的三大产业之一,以西脉新材料、省科学院、金川科技园为代表的新材料企业在纳米功能材料、生物传感技术、记忆合金等方面形成了一批国内乃至国际领先的成果。
目前,兰州高新区聚集了西脉医疗、金川科技园公司、省科学院高技术产业园等新材料企业40多家,实现总产值近100亿元。

(西脉医疗的记忆合金材料加工车间。高展摄)
在新技术方面,兰州高新区积极布局新一代信息技术产业。以中电万维、紫光智能等为代表的大数据产业产值占到兰州市的60%。引进中国电子西部区域总部、海康威视数字技术智能物联网和大数据服务综合项目等重点项目,实现数字经济蓬勃发展。
兰州西脉国际医疗公司是国内最大的记忆合金内固定医疗器械领军企业,其所属兰飞医疗器械公司生产的“全碳双叶型人工机械心脏瓣膜”改变了目前进口瓣膜垄断市场的局面,作为获准入市的两家国产企业之一,有望将国产瓣膜在国内市场的占有率提高到30%以上。同时,其被国家工信部认定为专精特新“小巨人”企业。

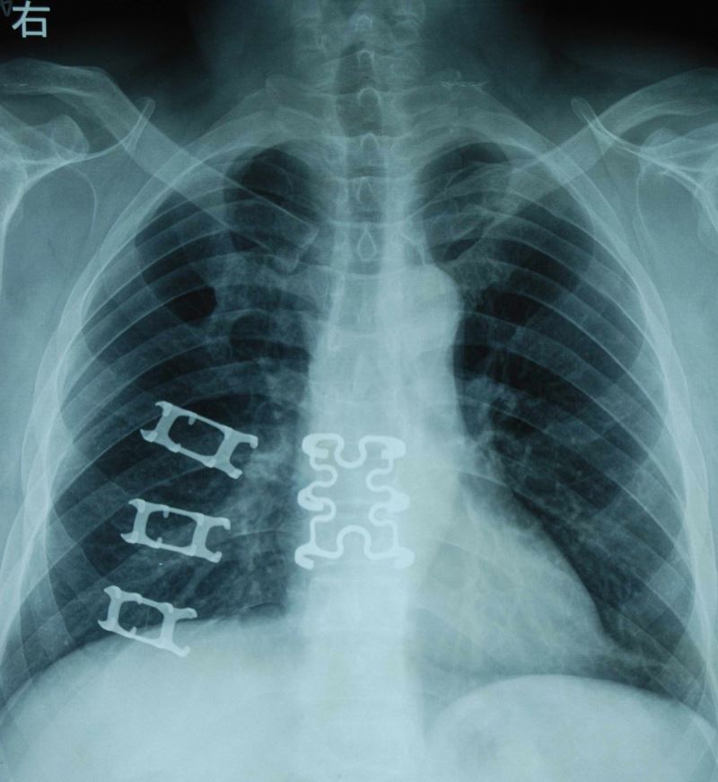
(西脉医疗记忆合金材料肋骨、胸骨X光片1)
中电万维位于兰州高新区,是中国电信旗下全资子公司,基于多年的云计算、大数据研究积累,公司已发展成为甘肃省软件服务业领域的领军企业,拥有授权专利4件,受理专利132件,取得软件著作权共计397件,已形成软件开发、互联网运营、技术服务和系统集成等四大业务板块。被认定为甘肃省省级云计算软件研发应用中心、甘肃省省级云计算工程实验室,是国家软件产业基地骨干企业、科技部火炬计划优秀高新技术企业。
兰州金川科技园有限公司是金川集团股份有限公司全资子公司,主要从事电池正极材料及电池回收利用、高纯金属、贵金属深加工、银材料、各类检验检测等领域的研究及产业化。公司已形成1.3万吨/年三元正极、200吨/年各类高纯金属、500吨/年硝酸银、100吨/年超细银粉、5000kg/年贵金属产品产能。业务已经覆盖新能源动力汽车,芯片产业,汽车尾气、化工、环保催化剂,晶硅太阳能电池等领域,产品广泛应用于手机、平板电脑、新能源汽车、电子元器件、化工产品等方面。
来源:中新社甘肃分社